HOME > 矯正装置の種類 > 唇側矯正(表側の矯正)
唇側矯正
(表側の矯正)
唇側矯正とは
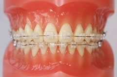
唇側矯正:最も一般的な矯正装置で、コストパフォーマンスにも優れています

唇側矯正は、最も一般的に利用されている歯の表側に着ける矯正装置です。
舌側矯正装置やマウスピース型の矯正装置は見えないので矯正していることに気づかれないということもありますが、皆様が矯正装置と聞いて思い浮かべるのはこの装置だと思います。
矯正歯科の発展はこの装置の開発なくしては考えられません。それほど矯正歯科臨床にとって歴史的にも重要な矯正装置です。
歯列矯正をしている患者様の多くがこの唇側矯正装置で治療しています。
コストパフォーマンスにも優れており、矯正装置が見えることに特段の抵抗が無い患者様には第一選択となります。
唇側矯正で使う矯正装置
ブラケットの種類

ブラケット
「ブラケット」とは歯面に着く四角い装置のことです。
ブラケットには、強度と耐久性に優れた金属ブラケット、白色透明で審美性の高いプラスチックブラケットやセラミックブラケットがあります。
ただし、プラスチックブラケットは、強度・耐久性が劣ることや時間の経過で着色しやすい欠点があり、当院では標準仕様にはしておりません。
ブラケットの真ん中にはワイヤーを通す溝があり、動かしたい歯と骨に対してワイヤーで適切な力をかけることにより歯の周辺組織を変化させ、歯列を整えていきます。
ワイヤーの種類

ワイヤー
治療段階によって使用するワイヤーは異なります。
治療の初期段階では、生体側の準備も整っていないことで痛みも感じやすいため、できるだけ弱い力が持続的にかかることを目的とするワイヤーを使用します。
治療が進んでいくと、歯を動かしたい位置に安定して固定できる硬度や弾性のあるワイヤーを選択します。また、歯に回転を加えるためには、断面が四角形のワイヤーを使用します。
ワイヤーの色は、ステンレス製の銀色、ロジウムコーティングされた白銀色、ホワイトコーティングされた白色、日本人の肌にも馴染みやすいゴールドなどがあります。実際の歯は少し黄ばみもあるため、ピーチゴールドのワイヤーは思ったより目立ちにくく、当院でもよく使用しています。
尚、審美面で一番目立ちにくいホワイトワイヤーは、長期間使用しているとホワイトコーティングが剥げてくることがあるので、通院期間が長く開いてしまう時は注意が必要です。
ブラケットとワイヤーの組み合わせ
歯の表側に装置を付ける唇側矯正は、どうしても矯正装置が見えてしまいます。当院では患者様のご希望によりブラケットやワイヤーの種類を選択できるようにしています。
-
金属ブラケットと金属のワイヤー

強度と耐久性に優れ、ブラケットの厚みも無いため、違和感が最も少ない装置です。矯正装置としては一番安価ですが、金属アレルギーが心配な方や審美面が気になる方には不向きな装置です。 -
セラミックブラケットと金属のワイヤー

最も一般的な組み合わせで、皆様がよく見かける歯列矯正中の方はこのタイプが多いと思います。セラミックブラケットは耐久性もあり、目立ちにくい上、汚れや着色もつきにくいので長期となる矯正治療にお勧めできる装置です。 -
セラミックブラケットとホワイトワイヤー

唇側矯正としては最も目立たない組み合わせで、遠目からは矯正治療をしていることが気づかれにくくなります。審美性はもちろん、材質も年々改良されており、ワイヤーのコーティングも剝がれにくくなってきています。 -
番外編|セラミックブラケットとカラーゴム

ワイヤーをブラケットに留める透明な輪ゴム(モジュール)を、色付のものに変更するリクエストにも対応しています。目立たない矯正とは正反対ですが案外人気があり、ハロウィンVer.やクリスマスVer.など楽しみながら治療される患者様もいらっしゃいます。
表側の矯正のメリット・デメリット
メリット

-
どのような症例にも対応できる
出っ歯・叢生・受け口・開咬など、どのような症状でも対応できる矯正装置です。また、治療難易度の低い症例から高い症例まで、最も適応範囲の広い治療法です。
外科手術を伴う顎関節症の術前・術後矯正の場合も唇側矯正装置を使用します。
-
治療の実績が多く、細かい調整がしやすい
唇側矯正の治療の歴史は長く、その分多くの治療実績があります。当院でも様々な症例の治療をしてきましたので、患者様の症状に似た治療症例をご覧いただくこともできるかと思います。
矯正医の手技も熟練しているため、歯の向きや角度などの微調整がしやすく、治療の確実性も高くなります。
-
コストパフォーマンスが良い
当院では、裏側の舌側矯正装置に比べて基本料金を安く設定しています。また、治療期間も短いため、総じて治療費用は安くなります。他院においても多くの場合で同様だと思います。
-
他の矯正装置に比べて治療期間が短い
当院では、唇側矯正装置による治療期間は、舌側矯正装置の場合より20%くらい短くなる傾向にあります。唇側矯正の場合は、技工所などに装置の製作を依頼する必要がないため、待機時間などのロスタイムがないことも理由の一つです。
-
発音への影響が少ない
唇側矯正装置は舌への影響がないので、滑舌や発音に関するストレスはほとんど感じないかと思います。一方、目立たない装置である舌側矯正装置やマウスピース型の矯正装置は、装置が舌にあたるため、装着してしばらくの間は喋りにくさを感じる方が多いです。
デメリット

-
装置が見える
歯の表側に着ける以上は「装置が見える」事実には変わりなく、セラミックブラケットやホワイトワイヤーなどの目立ちにくい装置を使用しても、矯正治療をしていること自体は周りの人に分かってしまいます。
しかし近年では、矯正治療は著名人を始めとして、子供から大人まで多くの方が行うようになり、装置が見えることに対して気を遣わないで良いような世情になってきていると思います。
-
金属アレルギーのリスクがある
矯正治療における金属アレルギーは、ブラケットやワイヤーに使われるニッケルによる場合が多いため、症状が現れた患者様にはセラミックブラケットや生体親和性の高い素材のワイヤーなどを使用して対応しています。
尚、当院ではアレルギーリスクの高い患者様にはマウスピース型矯正装置での治療も検討できますので、ご相談ください。
-
歯に付いた食べカスが目立つ
固定式の矯正装置の場合、慣れないうちは特に食事をすると装置に食べカスが引っかかってしまいます。唇側矯正装置の場合は、食べカスまで見えてしまいますので、食事の後は鏡を見てチェックしたり、歯磨きをする習慣をつけると良いでしょう。
-
装置の厚みで口元に突出感がでる
出っ歯や叢生の症状がある方は、矯正装置が歯の表面に付くことで、治療当初はより口元の突出感を覚えるかもしれません。ただし、治療が進むにつれてEラインも整い、口元は後方に下がってきますので、それほど心配する必要はないと思います。
-
装置に慣れるまでは口内炎ができやすい
唇側矯正は頬の内側に装置が当たるため、装着した当初は口内炎ができることもあります。一般的には、口内炎が痛い場合は、装置に専用ワックスを付けたり、患部に市販の口内炎パッチを貼って凌ぐ方が多いですが、当院では炭酸ガスレーザー照射器を完備しておりますので、ご来院いただければ炎症を抑えることができます。
炭酸ガスレーザーは、口内炎の患部にレーザー光を照射することで、蒸散・殺菌作用により粘膜の再生を促進します。口内炎の疼痛に即効性があり、患者様に大変喜ばれています。
唇側矯正(表側の矯正)Q&A
唇側矯正装置で矯正治療を行う場合の通院頻度はどのくらいですか?
矯正治療中の痛みが心配です。
カレーやワインなど、色の濃い飲食物で装置が変色した場合はどうしたら良いですか?
成人式や結婚式などで矯正装置を一時的に外すことはできますか?
矯正治療中のトラブル対処法について教えてください。
矯正治療中に虫歯にならないか心配です。
※上記Q&Aは以下のページに詳しく掲載しています。他にもさまざまな矯正治療に関するQ&Aや情報を載せていますので、是非ご覧ください。
唇側矯正の治療例
【唇側矯正の限定解除】
-
治療内容
矯正装置を通じて歯やアゴの骨に力をかけてゆっくりと動かし、歯並びと噛み合わせを治します。
-
一般的な治療費総額の目安(自費)
大人 唇側矯正治療 約850,000円(税込)
※矯正歯科治療は公的健康保険の適用外の自費診療(自由診療)となります。 -
治療期間・回数
矯正 2年前後・通院回数24回前後(1回/月) 保定 2年前後・通院回数4~8回
-
リスク、副作用
- 治療中は歯みがきしにくい箇所ができるため、虫歯や歯周病のリスクが高くなるので、念入りな歯みがきが必要になります。
- 初めて矯正装置を装着した時や調整した後は、疼痛や圧迫感などを感じることがあります。
- 歯並びを整え、咬み合わせを改善するために、やむを得ず健康な歯を抜くことがあります。
- 歯を動かす際に、歯根吸収や歯肉退縮が起こることがあります。
- リテーナー(保定装置)を適切に使用しない場合は、後戻りすることがあります。





















